Skip to main content

Salivary gland stones

Salivary gland stones are small stones that form in salivary glands in your mouth and can block the flow of saliva (spit). They're not usually serious and you may be able to remove them yourself.

Symptoms of salivary gland stones

Most salivary gland stones form below your tongue in one of the glands supplying saliva to your mouth. You cannot always see them.

The inside of a person's mouth showing their lower teeth and bottom lip. There is something large and white (a salivary gland stone) under their tongue.
Salivary gland stones are white and hard.
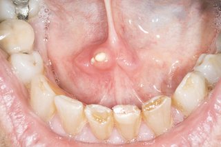
The inside of a person's mouth showing their lower teeth and part of their bottom lip. There is a small, white salivary gland stone under their tongue.
They vary in size, but most are as big as a pea.

Salivary gland stones may cause:

  • dull pain in your mouth that comes and goes
  • swelling in your mouth that flares up from time to time
  • an infection around the stone – signs of infection include pain, redness and a high temperature

If you feel intense pain during mealtimes, this could mean the stone is completely blocking a saliva gland. The pain usually lasts 1 to 2 hours.

Things you can do to try to remove salivary gland stones

You can try to remove a salivary gland stone by doing things to increase the amount of saliva in your mouth, such as:

  • drinking plenty of water
  • gently massaging around the stone
  • chewing sugar-free gum or sucking on sugar-free sweets or lozenges

If you have pain and swelling, you can:

The symptoms will not go away until the stone has been removed.

Important

Do not use anything sharp to try to remove a salivary gland stone because it could cause injury and infection.

Non-urgent advice: See a GP if:

  • you're unable to remove a salivary gland stone yourself
  • the stone has caused an infection – signs include pain, redness or pus around the stone, and having a high temperature (or feeling hot, cold or shivery)

Treatments for salivary gland stones

Small salivary gland stones sometimes fall out on their own.

You’ll continue to have symptoms until the stone falls out or is removed.

A GP may attempt to gently remove the stone with a thin, blunt instrument.

If that's not possible, you may need to have the stone removed in hospital.

Causes of salivary gland stones

It's not clear what causes salivary gland stones, so there's no way to prevent them. They're not usually linked to other health problems.

Once removed, salivary gland stones do not usually come back. But if you keep getting them you might need to have 1 of your salivary glands removed.

Page last reviewed: 14 August 2023
Next review due: 14 August 2026